
Macular Degeneration Fort Myers
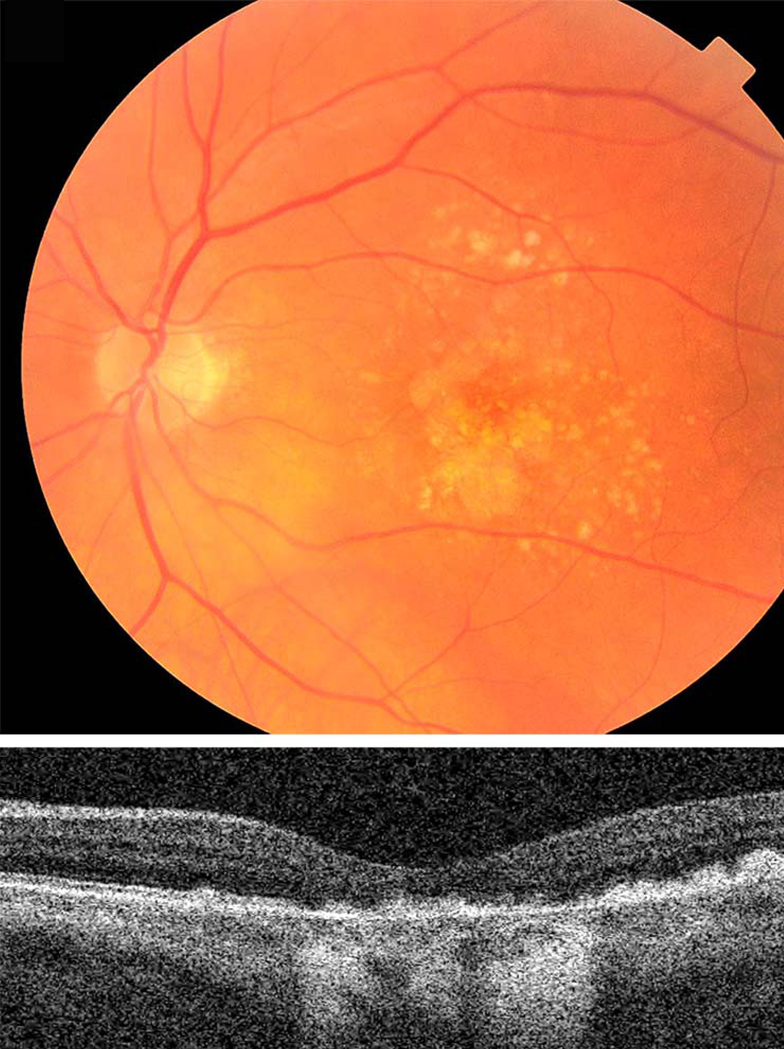
Macular degeneration affects more than 10 million Americans and it is increasing.The risk factors are age, caucasian race, although it can affect any race, and genetics. Smoking and hypertension are the modifiable risk factors. It affects the macula by accumulating toxic material (Drusen). It is a progressive disease. However, early detection can reduce symptom severity and slow disease progression. Disease type and stage will determine the kind of treatment you will receive.
Centers For Vision has acquired a revolutionary treatment for Dry Macular Degeneration, the Valeda light delivery system, this laser not only saves vision but also improves vision, for the first time in history, with no side effects.
We also have the latest treatments for Advanced Dry Macular Degeneration with geographic atrophy, to decrease progression.
Centers For Vision offers all available medications in the world, to treat Wet Macular Degeneration. We will find the best option for you